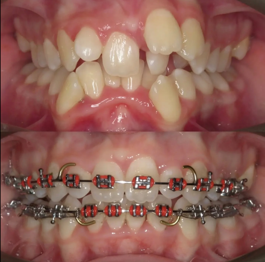
Can Braces Achieve Palate Expansion?
Many patients ask whether braces alone can widen the palate. It is a great question and the answer depends on age, growth stage and the type of expansion needed. Understanding what braces can and cannot do helps set realistic expectations before starting orthodontic treatment.























