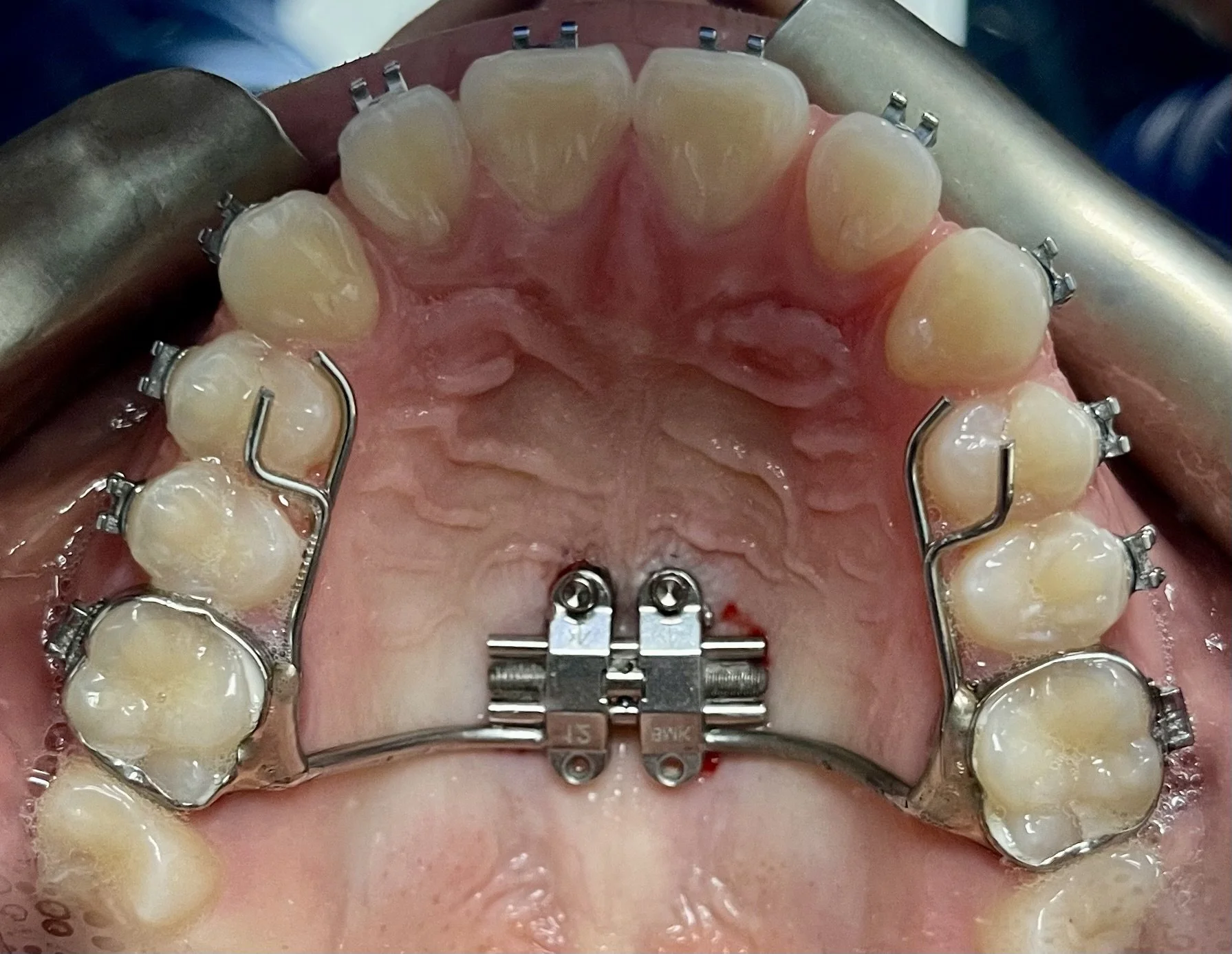
Can I Have MARPE While Having NHS Orthodontic Treatment Elsewhere?
We are often asked whether it’s possible to have MARPE (Miniscrew-Assisted Rapid Palatal Expansion) privately with our practice, while continuing NHS orthodontic treatment at another provider. Because this can be confusing, we want to be completely clear from the outset.




























