blog page
Practice News

The Most Commonly Asked Questions About Braces

9
Oct

The Most Commonly Asked Questions About Braces

Thursday, October 9, 2025

🦷 The Most Commonly Asked Questions About Braces

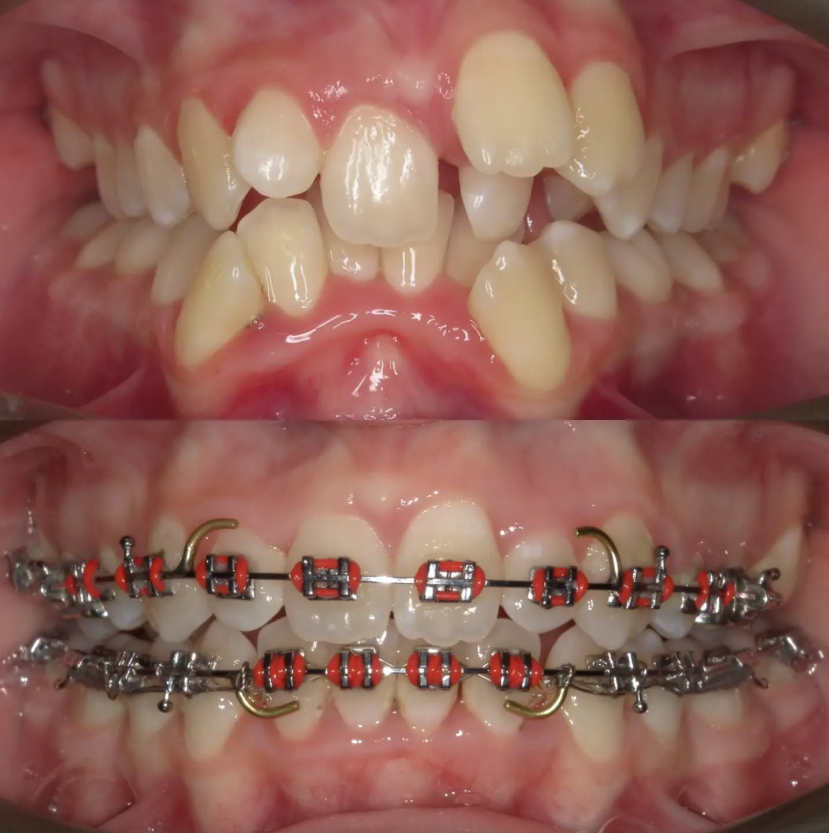
Getting braces is one of the best investments you can make in your smile, but if you’re new to orthodontic treatment, you probably have a lot of questions. Whether you’re a parent preparing your teen or an adult thinking about straightening your teeth, understanding what to expect can make the journey much smoother.

At Aligned Orthodontics in Manchester, we hear these questions every day from patients starting their treatment. Here’s everything you need to know before, during, and after getting braces.

Do braces hurt?

It’s a question almost everyone asks, and the honest answer is: not really. Fitting braces doesn’t hurt at all, but your teeth and gums can feel tender or tight for a few days after adjustments. This is perfectly normal and a sign that your braces are working. Soft foods, orthodontic wax, and mild pain relief like paracetamol usually help ease the discomfort.

 

How long will I need to wear braces?

Every smile is different, but most treatments take between twelve and twenty-four months. Some simpler cases can be completed faster, while more complex ones may take a little longer. Your orthodontist will give you a personalised treatment plan and timeline after your consultation.

 

Can adults have braces too?

Absolutely. More adults than ever are choosing orthodontic treatment to improve their confidence and oral health. Discreet options such as Invisalign, clear ceramic braces, or lingual braces (placed behind your teeth) make treatment almost invisible, so you can smile confidently even during your journey.

 

What can I eat with braces?

When you first get your braces fitted, it’s best to stick to soft foods for a few days, soups, pasta, and smoothies are great options. To avoid damaging your brackets or wires, steer clear of sticky sweets, hard nuts, and chewy toffees. If you’re craving crunchy foods like apples or crusty bread, just cut them into small, manageable pieces.

 

How do I clean my teeth with braces?

Good oral hygiene is key to keeping your smile healthy during treatment. Brush after every meal using a soft toothbrush and fluoride toothpaste. Interdental brushes and water flossers help reach those tricky spots around the brackets. A fluoride mouthwash can also help protect your enamel and keep your breath fresh.

What happens when my braces come off?

The big day! When your braces are removed, your orthodontist will fit you with retainers to keep your teeth in place. Retainers can be removable or fixed, and they’re usually worn full-time for the first few months, then just at night. Consistent use is the secret to keeping your smile straight for life.

 

Will my teeth stay straight forever?

Your teeth naturally want to move back toward their original positions, so retainers are crucial. Think of them as your smile’s insurance policy, a small effort that ensures your hard work (and your beautiful results) last for decades.

 

How much do braces cost?

In the UK, NHS braces are free for under-18s who meet the eligibility criteria. For private treatments, costs vary depending on the type of brace and case complexity, typically ranging from £3,800 to £7,995. Many clinics offer flexible payment plans to make treatment affordable and stress-free.

 

Final Thoughts

Braces are more comfortable, discreet, and effective than ever before. Whether you’re considering fixed braces, Invisalign, or a cosmetic alternative, modern orthodontics can transform not just your smile but your confidence, too.

If you’re ready to start your own smile journey, book a consultation at Aligned Orthodontics Manchester to find out which treatment is right for you.

Posted on:

Thursday, October 9, 2025

in

Practice News

category

Aligned orthodontics Salford

Other News Stories

Aligned orthodontics